How to Ensure Your Dental Implants Last Over a Decade: A Guide from Eungam-dong Dental Clinic

Eungam-dong Dental Clinic
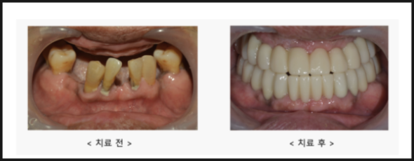
Worried about your dental implants failing? Wondering where to get implants that can potentially last a lifetime?
If you're considering dental implants, you're likely concerned about their longevity and how well you can maintain them.
Invest just 3 minutes to learn the key factors for successful and long-lasting implants.
Here’s what to consider to ensure your implants serve you well for years to come:
Eungam-dong Dental Clinic
Implant diagnosis can vary among dentists based on their clinical experience, preferred surgical methods, limitations in surgical capabilities, and available equipment.
The entire procedure should be tailored to the patient's condition, with meticulous and systematic post-operative care.
Key considerations for successful implants:
- Knowledge of implants
- Accurate diagnosis and post-treatment care
- The clinic's history in providing consistent care at the same location
1. Knowledge of Implants
From diagnosis to the procedure and aftercare, every step is crucial. Natural teeth and implants differ significantly, and managing implants as if they were natural teeth can lead to complications.
1) Differences Between Implants and Natural Teeth
Implants lack periodontal ligaments, which means they don't have the same sensory feedback or shock absorption as natural teeth. This makes them vulnerable to damage from continuous, strong forces, such as teeth grinding, potentially leading to fractures or crown detachment more quickly than with natural teeth.
While cavities in natural teeth cause pain or bleeding, allowing for early detection, inflammation around implants may go unnoticed until it's advanced.
Eungam-dong Dental Clinic
2. Accurate Diagnosis and Post-Treatment Care
Accurate diagnosis is paramount, as it significantly influences treatment outcomes. Key aspects of diagnosis include assessing tooth inflammation, nerve damage, overall bite alignment, patient's dietary habits, and the condition of the jawbone.
The goal is to determine the best treatment plan to meet the patient's needs and ensure a successful outcome.
1) Bite Force (Occlusal Force)
Evaluating the balance of the bite is crucial by assessing jaw muscle strength and habitual behaviors.
2) Jawbone Condition Analysis
Adequate jawbone density is essential for stable implant placement. CT scans, oral scanners, and panoramic X-rays are used to assess the three-dimensional condition of the teeth, and bone grafting may be necessary.
This precise diagnosis is fundamental for the long-term success of implants.
Eungam-dong Dental Clinic
3. Longevity at One Location
Many new dental clinics are emerging, and we often see patients seeking retreatment at our clinic after receiving care at discount dental clinics. These clinics often have a high turnover rate, leaving patients stranded when complications arise, requiring them to seek new providers.
Retreatment is more complex than the initial procedure. Therefore, it’s important to consider how long a clinic has been providing honest care at a single location.
Seoul Geumppeuran Dental Clinic has been in the same location in Eunpyeong-gu for nearly 15 years, earning the trust and support of the community as a dedicated “Eunpyeong-gu family dentist,” with many patients referred by word of mouth.
Our medical team is committed to providing thorough and honest care to repay this trust and support. We will continue to strive for the best possible outcomes.
Thank you always.
Post-Implant Care
The first 3-6 months after implant placement are crucial. Avoid excessive stress on the implant and pay attention to your diet.
Recommendations:
- Avoid chewy or hard foods.
- Limit alcohol and smoking, as they can delay healing and cause inflammation.
- Regular check-ups to ensure the crown and abutment are secure.
Post-implant care is critical. Gaps between the implant abutment and crown can create environments for bacterial growth, leading to inflammation.
Regular check-ups are essential for preventing inflammation.
Please attend your scheduled check-up appointments!
<Check-up Items>
- Check for inflammation
- Check the condition of the prosthesis and abutment
- Check the condition of the jawbone
Eungam-dong Dental Clinic
Choosing a clinic that meets all three criteria above is the key to enjoying your implants for many years.
Seoul Geumppeuran Dental Clinic combines the expertise of four specialists with 15 years of experience: specialists in integrated dentistry, restorative dentistry, prosthodontics, and orthodontics from Seoul National University, ensuring excellent treatment outcomes.
We are committed to providing honest and thorough care for the dental health of each patient.
Thank you for reading.
Eungam-dong Dental Clinic
Eungam-dong Dental Clinic
Eungam-dong Dental Clinic
----------Book an Appointment Without the Wait---------
Eungam-dong Dental Clinic
Eungam-dong Dental Clinic Eungam-dong Dental Clinic Eungam-dong Dental Clinic Eungam-dong Dental Clinic Eungam-dong Dental Clinic
Eungam-dong Dental Clinic Eungam-dong Dental Clinic Eungam-dong Dental Clinic
Seoul Geumppeuran Dental Clinic Eunpyeong
Seoul Special City Eunpyeong-gu Seooreung-ro 151 Naenam Building 3rd floor
1. Knowledge of implants
2. Accurate diagnosis and post-treatment care
3. The clinic's history in providing consistent care at the same location
Source :https://blog.naver.com/goldplant2727/223844814391
No comments yet.
