When is the Right Time for Dental Implants? - A Guide from Eungam-dong Dental Clinic

Eungam-dong Dental Clinic
When is the right time for an implant for me?
Doctor,
Can I wait to get my implant?
In today's column, I'd like to address a question many people have:
When is the appropriate time for implant surgery?
'Doctor, can I get one done first and wait before getting the other one...?'
'Doctor, can I get it done right after the tooth is extracted today?'
'Shouldn't I wait until the gums have healed a bit?'
'When I had it done a few years ago, I had to wait a long time before the surgery, and it took a year to complete.'
Many people are curious about the timing of the surgery and sometimes even decide on it themselves.
Eungam-dong Dental Clinic
1. What are the changes in the gums after a tooth is extracted?
2. What are the advantages of immediate implant placement after extraction?
3. What is Seoul Geum Implant's pain relief system?
1. What are the changes in the gums after a tooth is extracted?
Some older patients prefer to wait longer.
In fact, I believe that being conservative is not a bad thing in the field of medicine, where we treat the body.
A procedure I often perform these days is
immediate implant placement after extraction.
Why do I often perform immediate placement instead of waiting?
'In many cases, immediate placement after extraction yields better results.'
In the past, it was common to extract the tooth, allow sufficient healing time,
let the gums heal completely, then open the healed keratinized gingiva (hard gums),
perform alveolar bone grafting,
and then perform surgery again.
This could take almost a year.
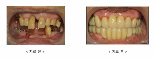
The following is a case of immediate implant placement.
Eungam-dong Dental Clinic
The content of the paper above
is about the degree of bone resorption that occurs after a tooth is extracted.
When a tooth is extracted, bone resorption begins.
Bone that does not receive physiological force due to the absence of a tooth
experiences resorption.
Have you ever had a cast on your arm or leg?
Even if you only wear a cast for about a month and then take it off,
your arm or leg will be thinner.
If you take an X-ray, you will see that not only the muscles but also
the bone density of the arm or leg bones has decreased.
You can understand that the bones and muscles of our body weaken when they are not used.
The same goes for gum bone.
50% of gum bone resorption occurs
within one year after extraction,
and about 2/3 of that is resorbed
within 2-3 months immediately after extraction.
Eungam-dong Dental Clinic
After extracting a fractured tooth,
the gums heal after a few months, but
if you compare the left and right sides,
you can see that the width of the right gum has narrowed.
After a little more time,
the 'height' of the alveolar bone also decreases.
If the width narrows, it will be difficult to perform implant surgery later.
If the height decreases,
aesthetic issues arise, especially in the anterior region, as shown in the picture above.
For these reasons, immediate implant placement allows for
faster healing and preservation of the alveolar bone.
Eungam-dong Dental Clinic
2. What are the advantages of immediate implant placement?
One of the systems optimized for immediate placement to preserve alveolar bone is
the IBS Magic Core Implant.
Even in cases where the remaining alveolar bone after tooth extraction is missing or
soft,
making immediate placement impossible even if desired,
the Magic Core Implant can often make it possible.
Since there is a Magic Core that can be implanted even in difficult implant situations,
don't worry alone,
and feel free to discuss it with us.
Eungam-dong Dental Clinic
3. What is Seoul Geum Implant's pain relief system?
Eungam-dong Dental Clinic
Eungam-dong Dental Clinic
If you come to us with this detailed information in advance,
I think it will be of great help in understanding
your treatment options well.
The medical staff at Seoul Geum Implant Dental Clinic in Eunpyeong-gu
establish and proceed with treatment plans
with the aim of achieving the best possible results,
and are constantly studying and researching
implant systems and procedures that are constantly evolving
for better patient care.
Thank you for reading the long article^^
Eungam-dong Dental Clinic
Eungam-dong Dental Clinic
Eungam-dong Dental Clinic
Eungam-dong Dental Clinic When is the right time for an implant for me?
Eungam-dong Dental Clinic When is the right time for an implant for me?
Eungam-dong Dental Clinic When is the right time for an implant for me?
Eungam-dong Dental Clinic When is the right time for an implant for me?
Eungam-dong Dental Clinic When is the right time for an implant for me?
Eungam-dong Dental Clinic

Source :https://blog.naver.com/goldplant2727/223895742573
No comments yet.
